Bom preço  on-line

Detalhes dos produtos

Created with Pixso. Casa Created with Pixso. produtos Created with Pixso.
Estética biomimética dentária
Created with Pixso. Estudo de Caso de Coroa Dentária de Zircônia | Outsourcing de Laboratório Global - Joydentalab

Estudo de Caso de Coroa Dentária de Zircônia | Outsourcing de Laboratório Global - Joydentalab

Nome da marca: Joydenta
MOQ: Flexível
Tempo de entrega: 4 dias de trabalho
Condições de pagamento: T/T paypal
Informações pormenorizadas
Web site novo:
www.joydenta-lab.com
Web site novo:
https://joydenta-lab.com/en/
Detalhes da embalagem:
Embalagem de bolhas com caixa
Habilidade da fonte:
500 casos / dia
Destacar:

Próteses de zircônia com aparência natural

,

Dentes falsos de zircônio dentário

,

Dentes dentários de zircónio para substituição dentária

Descrição do produto

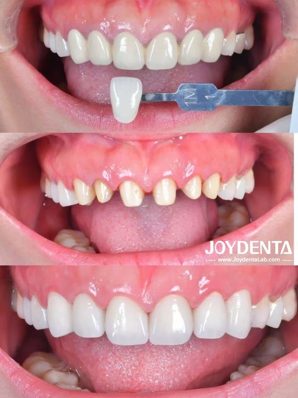
Estudo de caso da coroa dental de zircônio Premium Global Outsourcing pela Joydentalab

Este caso clínico apresenta uma restauração secundária para um paciente que recebeu coroas de metal-cerâmica há muitos anos atrás.e solução esteticamente avançadaA clínica dentária selecionou oCoroa dentária de zircôniosistema fabricado porJOY Laboratório Dental, e o resultado é um claro passo em frente, tanto na precisão como no desempenho estético.

Como se pode ver nas imagens, a diferença entre a antiga prótese e a nova restauração em zircônio é significativa.Coroa dentária de zircônioEntrega:

  • Melhoria da precisão e translucidez das cores

  • Uma forma anatômica refinada que se integra harmoniosamente com os dentes naturais do paciente

  • Força e estabilidade superiores a longo prazo

  • Materiais biocompativeis adequados para doentes sensíveis

A clínica odontológica e o paciente expressaram satisfação com o resultado final. A restauração apresenta uma aparência natural e altamente realista.reforçando por que o zircônio continua a ser um dos materiais mais confiáveis na odontologia restaurativa moderna.


Por que os laboratórios dentários globais escolhem JOY Dental Lab para restaurações de zircônio

Como umLaboratório odontológico premiumespecializada em terceirização internacional,JOY Laboratório DentalA Comissão Europeia apoia os laboratórios odontológicos em todo oEstados Unidos, Austrália e Reino Unidocom soluções de zircônio de alta precisão.

As nossas vantagens incluem:

  • Consistência do projeto digital através de fluxos de trabalho CAD/CAM avançados

  • Materiais de zircônio multicamadas de alta resistência

  • Tempo de resposta estável para clientes globais

  • Controlo de qualidade rigoroso para garantir resultados previsíveis

  • Comunicação profissional para a cooperação de laboratório a longa distância

Quer precise de caixas de unidade única, pontes de zircônio de arco completo, ou restaurações suportadas por implantes, fornecemos suporte de produção confiável adaptado a laboratórios dentários globais.


Parceiro de um Laboratório de Outsourcing Global Confiável

Se a sua clínica ou laboratório estiver à procura de um parceiro fiável paraCoroa dentária de zircônioFabricação,JOY Laboratório Dental Oferece precisão de fabricação, estética natural e excelente serviço internacional.

Damos as boas-vindas a laboratórios dentários de todo o mundo para colaborarem e elevarem os seus resultados restauradores com a alta qualidade do trabalho artesanal de zircônio.

Bom preço  on-line

Detalhes dos produtos

Created with Pixso. Casa Created with Pixso. produtos Created with Pixso.
Estética biomimética dentária
Created with Pixso. Estudo de Caso de Coroa Dentária de Zircônia | Outsourcing de Laboratório Global - Joydentalab

Estudo de Caso de Coroa Dentária de Zircônia | Outsourcing de Laboratório Global - Joydentalab

Nome da marca: Joydenta
MOQ: Flexível
Detalhes da embalagem: Embalagem de bolhas com caixa
Condições de pagamento: T/T paypal
Informações pormenorizadas
Marca:
Joydenta
Web site novo:
www.joydenta-lab.com
Web site novo:
https://joydenta-lab.com/en/
Quantidade de ordem mínima:
Flexível
Detalhes da embalagem:
Embalagem de bolhas com caixa
Tempo de entrega:
4 dias de trabalho
Termos de pagamento:
T/T paypal
Habilidade da fonte:
500 casos / dia
Destacar:

Próteses de zircônia com aparência natural

,

Dentes falsos de zircônio dentário

,

Dentes dentários de zircónio para substituição dentária

Descrição do produto

Estudo de caso da coroa dental de zircônio Premium Global Outsourcing pela Joydentalab

Este caso clínico apresenta uma restauração secundária para um paciente que recebeu coroas de metal-cerâmica há muitos anos atrás.e solução esteticamente avançadaA clínica dentária selecionou oCoroa dentária de zircôniosistema fabricado porJOY Laboratório Dental, e o resultado é um claro passo em frente, tanto na precisão como no desempenho estético.

Como se pode ver nas imagens, a diferença entre a antiga prótese e a nova restauração em zircônio é significativa.Coroa dentária de zircônioEntrega:

  • Melhoria da precisão e translucidez das cores

  • Uma forma anatômica refinada que se integra harmoniosamente com os dentes naturais do paciente

  • Força e estabilidade superiores a longo prazo

  • Materiais biocompativeis adequados para doentes sensíveis

A clínica odontológica e o paciente expressaram satisfação com o resultado final. A restauração apresenta uma aparência natural e altamente realista.reforçando por que o zircônio continua a ser um dos materiais mais confiáveis na odontologia restaurativa moderna.


Por que os laboratórios dentários globais escolhem JOY Dental Lab para restaurações de zircônio

Como umLaboratório odontológico premiumespecializada em terceirização internacional,JOY Laboratório DentalA Comissão Europeia apoia os laboratórios odontológicos em todo oEstados Unidos, Austrália e Reino Unidocom soluções de zircônio de alta precisão.

As nossas vantagens incluem:

  • Consistência do projeto digital através de fluxos de trabalho CAD/CAM avançados

  • Materiais de zircônio multicamadas de alta resistência

  • Tempo de resposta estável para clientes globais

  • Controlo de qualidade rigoroso para garantir resultados previsíveis

  • Comunicação profissional para a cooperação de laboratório a longa distância

Quer precise de caixas de unidade única, pontes de zircônio de arco completo, ou restaurações suportadas por implantes, fornecemos suporte de produção confiável adaptado a laboratórios dentários globais.


Parceiro de um Laboratório de Outsourcing Global Confiável

Se a sua clínica ou laboratório estiver à procura de um parceiro fiável paraCoroa dentária de zircônioFabricação,JOY Laboratório Dental Oferece precisão de fabricação, estética natural e excelente serviço internacional.

Damos as boas-vindas a laboratórios dentários de todo o mundo para colaborarem e elevarem os seus resultados restauradores com a alta qualidade do trabalho artesanal de zircônio.